
轮状病毒(Rotavirus,RV)为双链RNA病毒。属呼肠病毒科,轮状病毒属,因电镜下外形呈现车轮状得名,是引起5岁以下儿童急性脱水性胃肠炎的主要病原体。与EV71、柯萨奇病毒等引起腹泻的病毒一样,轮状病毒目前无特效药物治疗。所以,接种轮状病毒疫苗是公认的预防轮状病毒感染的最有效、最安全的措施,是降低轮状病毒感染风险和大幅减轻疾病负担的有效策略。
轮状病毒基因组由11个双链RNA片段组成,编码结构蛋白为VP1~4、VP6和VP7,VP4决定P分型,VP7决定G分型,其中VP6可将RV分为A-J10个组。A、B、C、H组均可感染人类,其中A组RV引起的症状最为严重。

图片来源于网络
目前全球上市的7种RV疫苗均为口服减毒活疫苗。其中RotaTeq(RV5,默沙东)与RotaSIIL为五价减毒活疫苗,Rotarix(RV1,GSK)、Rotavac(印度巴拉特公司)、Rotavin-M1(越南POLYVAC)与LLR(Lanzhou lamp rotavirus,LLR)为单价减毒活疫苗,其中RotaTeq、Rotarix、Rotavac和Rotasiil 已通过 WHO预认证,Rotavin-M1和羊轮状病毒疫苗(LLR)分别仅在越南和中国使用。2023年4月17日,国药集团中国生物兰州生物制品研究所自主研发的口服三价重配轮状病毒减毒活疫苗(Vero细胞)获得国家药品监督管理局上市许可批准,成为国内首个获准上市的三价轮状病毒疫苗。该疫苗交叉保护性好,可有效预防G1、G2、G3、G4和G9型轮状病毒导致的婴幼儿腹泻。
目前在研的RV疫苗种类有减活疫苗,重配疫苗,重组VLP疫苗,减毒重组和亚单位疫苗等。
轮状病毒纯化工艺
轮状病毒大多在vero细胞上进行适应性培养传代,在反应器中大规模培养可用百林科Puredex® cyto-1 微载体培养。
病毒收获后的层析选择:利用MaXtar® COLL 700收获大量病毒,之后利用Q Chromstar® FF达到去除杂蛋白的效果。百林科MaXtar® 高刚性基架有优秀的压力流速表现,利于后期生产放大。

图1:MaXtar® 基架压力流速曲线

图2:MaXtar® COLL 700纯化病毒图谱
MaXtar® COLL 700是一款多模式层析介质。区别于传统的层析介质,它由两层不同的结构组成:外壳是多孔的钝化层,确保700KD 以上的大分子不会进孔,直接走外水流穿;核心是偶联了同时具有疏水和正电荷吸附作用基团的球形内核,最大程度结合宿主蛋白、核酸等杂质。该层析介质能很好的用于多种大分子生物样本的分离纯化,比如:病毒及类病毒颗粒等。
相比于传统的单一模式层析介质,表现出更优的性能:
1、独特的双层结构设计,以流穿模式处理700KD 以上的大分子,工艺优化更容易,更方便线性放大。
改良的MaXtar® 基架具有更强刚性,因此在较低的反压下能够实现更高工艺流速,提高工艺效率。
2、相比于传统的凝胶过滤层析,拥有更大的上样量,降低成本。
重组轮状病毒抗原纯化工艺
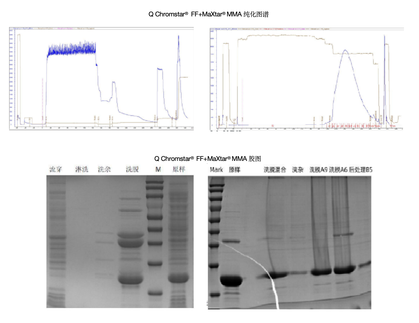
现有表达重组轮状病毒抗原的纯化方法工艺在第一步层析通常采用Q Chromstar® FF层析结合洗脱模式,收获洗脱峰。第二步层析可采用疏水层析,BARONHAPTM,MaXtar® MMA。下图为Q Chromstar® FF+MaXtar® MMA两步层析结果。

图3:Q Chromstar® FF+MaXtar® MMA两步层析结果
采用BARONHAPTM流穿模式进行第二步层析中,纯度可以得到明显提升,BARONHAPTM去除杂蛋白能力较强,电泳条带单一,与传统疏水层析相比,纯度更高,无明显杂带,在P2-VP8抗原纯化中纯度可达99%,同等条件下疏水纯度为90%。
羟基磷灰石BARONHAPTM(Ca10(PO4)6(OH)2 )是一种无机纯相层析介质,高温焙烧成球体,其晶体结构与骨羟基磷灰石相同,且球体结构稳定,粒径均匀。BARONHAPTM与生物分子之间具有多种模式的相互作用,可同时实现阳离子交换和钙金属亲和两种分离机制。阳离子交换主要依赖于BARONHAPTM上带负电荷的磷酸基,同时,生物分子上的羧基簇合物、磷基簇合物等都能通过金属亲和作用与羟基磷灰石上的钙形成更强的结合。由于这些独特的分离机制,使得BARONHAPTM成为当今要求极高的下游工艺中不可或缺的层析介质,在抗体、疫苗(细菌多糖、肺炎多糖、病毒等)、核酸、酶和重组蛋白等生物制药领域中发挥重要作用。

即刻咨询