Search
×
E-mail

潜伏在肿瘤内部的“敌后武工队”: 肿瘤浸润淋巴细胞(TIL)疗法的抗癌传奇


在我们身体的抗癌战场上,有一支特殊的部队长期潜伏在敌人内部。它们就是肿瘤浸润淋巴细胞(Tumor-infiltrating Lymphocytes, TIL)——免疫系统的“敌后武工队”。今天,让我们揭开这支神秘部队的面纱,看科学家如何唤醒它们,让它们成为抗癌战线上的奇兵。



今日撰稿人

微信图片_20250812142154.png

百林科首席科学家

陈   林   博士

德国多特蒙德工业大学

生物化学工程博士


曾就职于世界五百强企业,历任生命科学方向高级研究员和全球生物工艺产品负责人。拥有20年生命科学行业研究开发及国际化产品管理经验;发表SCI期刊6篇,英文著作1部,16 项美国授权专利。


加入百林科后,带领团队获得发明专利授权12项实用新型授权14项外观设计授权9项。


  • 发明专利授权12项

  • 实用新型授权14项

  • 外观设计授权9项




Popular Science




第一章:发现"潜伏部队"(1980年代)

故事要从1980年代说起。美国国立癌症研究院 (National Cancer Institute, NCI) 的史蒂文·罗森伯格 (Steven A. Rosenberg) 教授就像一位敏锐的情报官,在肿瘤组织中发现了一个惊人现象:


“这些淋巴细胞明明已经渗透到肿瘤内部,却按兵不动,仿佛被敌人策反了。”罗森伯格在回忆录《The transformed cell》(1992)中写到。


图片1.png

图1:图片来自网络

原来,癌细胞极其狡猾,它们构建了一个强大的免疫抑制微环境,就像在占领区建立碉堡和铁丝网,再加上”糖衣炮弹“,让这些免疫细胞陷入"沉睡"状态。



第二章:敌后特训计划(1984-1988)

罗森伯格团队制定了一个大胆的计划:把这些"潜伏队员"请出来,进行特种训练,再送回去投入战斗!



第一步:秘密撤离 


通过手术切除肿瘤组织,从中提取TIL细胞。这就像把敌后工作人员秘密接回根据地。

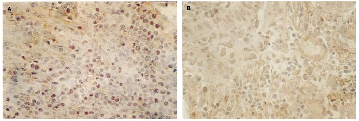
图片2更新.png

图2:早期 (上) 和晚期(下) 

直肠癌阶段的 TIL细胞显微镜图



第二步:特种训练 


在实验室里,研究人员用IL-2(白介素-2)这些"训练教官",让TIL细胞大量扩增并恢复战斗力。这个过程需要4-6周,就像对新兵进行高强度特训。(注:罗森伯格团队在1984年曾采用淋巴因子激活的杀伤细胞(LAK细胞)+ IL-2的方法,治愈过1位期转移性黑色素瘤患者琳达·泰勒 (Linda Tyler),轰动一时,这也是是TIL疗法的前奏。正是通过对LAK细胞的研究,罗森伯格团队才意识到了LAK细胞的局限性(非特异性、效力较弱),进而转向研究肿瘤内部特异性更强、效力更高的TIL细胞。


此外琳达·泰勒接受治疗后,一直健在,并在30年后与罗森伯格教授再次合影留念,也算是细胞治疗领域在Emily Whitehead外的另一个经典成功案例)

图片3.png

图3:图片来自网络



第三步:王者归来 


将训练后的TIL细胞通过静脉回输患者体内。这些经过特训的"超级战士" 现在能够有效识别和攻击癌细胞。

图片4(1).png

图4:TIL疗法的工作流程图

 (https://pmc.ncbi.nlm.nih.gov/articles/PMC9894146/figure/F1/)



第三章:增援战术升级(1990-2010)


但初代TIL疗法还存在明显短板:

这些回输的细胞在体内存活时间短,而且肿瘤微环境的抑制性太强。


研究人员很快拿出了解决方案:

  • 淋巴清除预处理(清空战场):先用清淋化疗药物(如氟达拉滨和环磷酰胺)清除体内的抑制性细胞,为TIL细胞创造更好的作战环境。

  • 联合免疫检查点抑制剂(解除束缚):使用PD-1抗体等药物,解除肿瘤对免疫细胞的抑制,就像解除了敌人给武工队戴上的镣铐。


2024年2月16日,美国FDA宣布批准了Iovance Biotherapeutics公司开发的TIL疗法Amtagvi(lifileucel),用于PD-1/PD-L1治疗后进展的晚期黑色素瘤,基本上就是遵循上面的解决方案流程,同时也标志着这种"敌后武工队"战术正式获得官方认可!但目前价格也很“美丽”, 370万一针刷新了纪录!(主要原因,完全个人定制化的疗法)

图片5.png

图片6.png

图5、6:TIL疗法治疗及生产流程 

(https://www.iovance.com/manufacturing/)



第四章:基因改造升级(2010-至今)


随着基因技术的发展,

研究人员开始给这些"武工队员"

装备更先进的武器:


  • 增强靶向性:通过基因改造让TIL细胞更精准识别癌细胞。

  • 延长存活时间:插入抗凋亡基因,让这些细胞在体内持久作战。

  • 改善肿瘤归巢:改造细胞表面受体,让它们能更好地渗透到肿瘤内部。



第五章:多兵种协同作战(现今)


现代TIL疗法已经发展成为多兵种协同作战:


  1. 侦察兵:通过基因测序识别肿瘤特异性抗原

  2. 特种兵:体外扩增和激活的TIL细胞

  3. 支援部队:免疫检查点抑制剂和细胞因子

  4. 工程兵:淋巴清除为治疗创造条件



未来展望:全民皆兵的抗癌新纪元


随着技术发展,TIL疗法正在向

更精准、更通用的方向进化:


  • 新抗原特异性TIL:针对每个患者的突变特征定制治疗。

  • 通用型TIL:通过基因编辑降低排异反应,有助于大幅降低成本。

  • 微环境改造:让肿瘤组织从"敌占区"变成"友好区"。


从发现肿瘤内部的"潜伏部队"到如今的有效抗癌手段,TIL疗法的发展史正是一部科学家与癌症斗智斗勇的史诗。正如一位研究者所说:"最有效的抗癌武器,可能就隐藏在肿瘤内部,等待着被唤醒。"

即刻咨询

想了解百林科验证检测服务更多详情?填写右侧表单,即刻与我们取得联系
地址
上海市浦东新区盛夏路58号15栋
联系我们
邮箱:
info@biolink.com
电话:
400-058-9000
地址:
上海市浦东新区盛夏路58号15栋